Sorry, you need to enable JavaScript to visit this website.

تبدیلی خون سے بھی الزائمر کا خطرہ

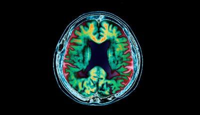
لندن.... حافظے کی کمزوری اور ذہنی یکسوئی کے فقدان کا سبب بننے والی مشہور زمانہ الزائمر بیماری کی مختلف وجوہ سامنے آچکی ہیں مگر سائنسدانوں نے اپنی تازہ تحقیقی رپورٹ میں کہا ہے کہ الزائمر کے مریض کی دماغی صلاحیت کم ہوتی ہے اور حافظہ ذخیرہ کرنے والے دماغی گوشہ کی بالائی رنگت کبھی سرد اور کبھی پیلی نظرآتی ہے اوریہی وہ عمل ہے جو دماغی صلاحیت کو کمزورکرتا ہے تاہم ڈاکٹر کچھ مریضوں کو تبدیلی خون کا مشورہ دیتے ہیں جو کسی حد تک کارگر بھی ہوتا ہے مگر تازہ ترین تحقیق سے پتہ چلتا ہے کہ خون کی تبدیلی بھی از خود الزائمر کا سبب بن سکتی ہے اسلئے جس مریض کو بھی کسی دوسرے کا خون دیا جائے اس میں حد سے زیادہ احتیاط برتنی چاہئے اور خون دینے سے قبل مریض اور اس شخص کا ٹیسٹ لینا ضروری ہے جسکا خون اس مریض کودیا جارہا ہو۔50سال قبل الزائمر کو ہارمون کی نشوونما میں خلل کا نتیجہ بھی سمجھا جاتا تھا۔
 

شیئر: